Si tienes un espacio entre los dos dientes frontales superiores y alguien te ha mencionado alguna vez que puede estar relacionado con el frenillo labial, es probable que tengas muchas preguntas. ¿Qué es exactamente el frenillo labial superior? ¿Puede causar realmente ese hueco entre los dientes? ¿Hay que operarlo? ¿La ortodoncia sola puede cerrar el espacio o es necesario intervenir el frenillo primero?
Son preguntas muy frecuentes y, al mismo tiempo, muy razonables. Porque la relación entre el frenillo labial superior y el diastema interincisivo (el nombre clínico del espacio entre los incisivos centrales) es un tema que genera bastante confusión, incluso entre pacientes que ya han consultado con varios profesionales y han recibido opiniones diferentes.
En este artículo te explicamos todo lo que necesitas saber sobre el frenillo labial superior, su relación con el diastema, cuándo es necesario intervenir y qué opciones de tratamiento existen. Con información clara, honesta y sin tecnicismos innecesarios.
¿Qué es el frenillo labial superior?
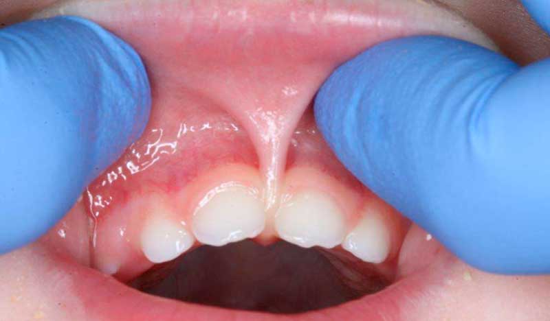
El frenillo labial superior es una pequeña banda de tejido mucoso que conecta el labio superior con la encía, justo en la zona central, entre los dos incisivos superiores. Si te miras al espejo y levantas el labio superior, lo verás claramente: es ese pequeño pliegue de tejido que va desde el interior del labio hasta la encía.
Todo el mundo tiene frenillo labial superior. Es una estructura anatómica completamente normal. El problema surge cuando ese frenillo es demasiado grueso, demasiado largo o se inserta demasiado abajo, llegando hasta el espacio entre los dientes o incluso hasta el paladar. En esos casos, el frenillo puede ejercer una tracción sobre los tejidos que interfiere con la posición de los dientes y con el cierre natural del espacio entre los incisivos centrales.
Desde el punto de vista clínico, los frenillos labiales se clasifican según el nivel de inserción en la encía:
Inserción mucosa: El frenillo se inserta en la mucosa alveolar, lejos de los dientes. Es la situación más habitual y generalmente no causa problemas.
Inserción gingival: El frenillo se inserta en la encía adherida, más cerca de los dientes. Puede causar problemas en algunos casos.
Inserción papilar: El frenillo se inserta en la papila interdental, es decir, en el tejido que hay entre los dos incisivos. Esta es la inserción más problemática y la que con mayor frecuencia se asocia al diastema.
Inserción transparietal: El frenillo atraviesa completamente el espacio entre los incisivos y llega hasta el paladar. Es la forma más severa y la que más claramente puede causar y mantener un diastema.
¿Qué es el diastema interincisivo?
El diastema interincisivo es el espacio o separación que existe entre los dos incisivos centrales superiores. Es uno de los rasgos dentales más reconocibles y, curiosamente, uno de los que más variación cultural tiene en cuanto a su percepción estética: en algunas culturas se considera un signo de belleza y distinción, mientras que en otras es uno de los motivos de consulta estética más frecuentes.
Desde el punto de vista clínico, un diastema de hasta 0,5 mm puede considerarse dentro de la normalidad. A partir de ahí, se habla de diastema patológico, aunque la decisión de tratarlo o no depende siempre de las preferencias del paciente y de si existe alguna causa subyacente que requiera atención.
El diastema interincisivo puede tener múltiples causas, y el frenillo labial es solo una de ellas. Entender cuál es la causa en cada caso concreto es fundamental para elegir el tratamiento más adecuado.

¿El frenillo labial superior causa siempre diastema?
No. Esta es una de las confusiones más frecuentes. Tener un frenillo labial superior prominente o de inserción baja no significa necesariamente que vaya a causar un diastema, ni que el diastema que ya existe sea exclusivamente culpa del frenillo.
La relación entre el frenillo y el diastema es compleja y depende de varios factores:
El tipo de inserción: Como hemos visto, solo las inserciones papilar y transparietal tienen una relación directa con el diastema. Un frenillo de inserción mucosa raramente causa problemas.
El tamaño y la consistencia del frenillo: Un frenillo muy grueso y fibroso ejerce más tracción sobre los tejidos que uno fino y elástico.
El tamaño de los dientes y del arco: Si los dientes son pequeños en relación con el arco dental, puede haber espacio sobrante que se manifiesta como diastema independientemente del frenillo.
La presencia de otros factores: Hábitos como la succión del dedo, la presión lingual (empujar los dientes con la lengua), la pérdida de dientes adyacentes o determinadas maloclusiones pueden causar o mantener un diastema con independencia del frenillo.
Lo que sí es cierto es que cuando existe un frenillo de inserción baja y un diastema, el frenillo puede ser un factor que impide el cierre espontáneo del espacio o que hace que el diastema reaparezca después de un tratamiento de ortodoncia si no se interviene el frenillo.

La prueba del blanqueamiento: un signo clínico clásico
Existe un signo clínico clásico que los dentistas utilizan para evaluar si el frenillo está contribuyendo al diastema. Se llama prueba de isquemia o prueba del blanqueamiento:
Cuando se tira del labio superior hacia arriba con cierta tensión, si el frenillo está ejerciendo tracción sobre la papila interdental, se puede observar cómo esa papila se blanquea (se isquemia) por la presión. Este signo sugiere que el frenillo está insertado de forma que interfiere con los tejidos entre los dientes y que puede estar contribuyendo al mantenimiento del diastema.
Es una prueba sencilla que puede realizarse en consulta y que aporta información valiosa sobre el papel del frenillo en cada caso concreto.

Otras causas del diastema interincisivo
Como hemos mencionado, el frenillo no es la única causa posible del diastema. Antes de planificar cualquier tratamiento, es importante descartar o identificar otras causas:
Discrepancia entre el tamaño de los dientes y el arco: Cuando los dientes son proporcionalmente pequeños para el tamaño del arco dental, hay espacio sobrante que se distribuye entre los dientes. En estos casos, el diastema puede aparecer aunque el frenillo sea completamente normal.
Microdoncia de los incisivos laterales: Los incisivos laterales superiores son los dientes más variables en tamaño y forma. Cuando son pequeños o tienen forma de clavija, los incisivos centrales pueden separarse para ocupar el espacio disponible.
Agenesia de los incisivos laterales: La ausencia congénita de los incisivos laterales superiores deja un espacio que puede manifestarse como diastema entre los centrales.
Hábitos de presión lingual: Empujar los dientes frontales con la lengua de forma habitual puede separarlos con el tiempo. Este hábito, conocido como interposición lingual, es especialmente frecuente en personas que tienen una deglución atípica.
Succión del dedo o del chupete: Estos hábitos en la infancia pueden favorecer la separación de los incisivos superiores.
Enfermedad periodontal: La pérdida de hueso alveolar por enfermedad periodontal puede provocar el desplazamiento de los dientes frontales hacia delante y hacia los lados, causando o agravando un diastema.
Maloclusión clase II: Algunas maloclusiones esqueléticas favorecen la protrusión y separación de los incisivos superiores.
Causa idiopática: En algunos casos no se encuentra una causa clara y el diastema es simplemente una característica genética del paciente.

¿Cuándo hay que intervenir el frenillo?
Esta es la pregunta que más preocupa a los pacientes y a los padres de niños con frenillo prominente. La respuesta depende de varios factores y no hay una regla universal, pero estas son las situaciones en las que la intervención del frenillo está más claramente indicada:
Cuando el frenillo causa un diastema significativo y hay evidencia de que está contribuyendo a su mantenimiento. Si la prueba de isquemia es positiva y el diastema es clínicamente relevante, la frenectomía puede estar indicada.
Cuando se va a realizar un tratamiento de ortodoncia para cerrar el diastema. Si se cierra el espacio con ortodoncia sin intervenir el frenillo, existe un riesgo elevado de recidiva: el frenillo puede ejercer tracción y hacer que el espacio vuelva a abrirse una vez retirada la ortodoncia. Por eso muchos ortodoncistas recomiendan realizar la frenectomía antes o durante el tratamiento de ortodoncia.
Cuando el frenillo causa problemas de higiene. Un frenillo muy bajo puede dificultar el cepillado correcto de la zona entre los incisivos y favorecer la acumulación de placa.
Cuando el frenillo causa retracción gingival. En algunos casos, la tracción del frenillo sobre la encía puede provocar una retracción que expone la raíz del diente y aumenta el riesgo de sensibilidad y caries radicular.
Cuando el frenillo interfiere con la colocación de una prótesis dental. En pacientes edéntulos que van a recibir una prótesis removible, un frenillo prominente puede interferir con su estabilidad.
Por el contrario, no siempre es necesario intervenir el frenillo, especialmente en niños pequeños. Durante el desarrollo dental, muchos diastemas que parecen importantes en la dentición temporal se cierran de forma espontánea con la erupción de los dientes definitivos y el crecimiento del maxilar. Por eso los especialistas suelen recomendar esperar a que erupcionen los caninos superiores definitivos antes de tomar decisiones sobre el frenillo en niños.

¿Qué es la frenectomía labial?
La frenectomía labial es la intervención quirúrgica mediante la cual se elimina o se reposiciona el frenillo labial superior. Es un procedimiento relativamente sencillo, de corta duración y con una recuperación rápida, aunque como cualquier intervención quirúrgica requiere una valoración previa cuidadosa y debe realizarla un profesional cualificado.
Existen dos técnicas principales:
Frenectomía convencional con bisturí: Es la técnica clásica. Se realiza con anestesia local, se secciona el frenillo y se sutura la herida. La recuperación es de pocos días y las molestias son generalmente leves y bien controladas con analgésicos convencionales.
Frenectomía con láser: En los últimos años, el uso del láser dental para realizar frenectomías se ha extendido considerablemente. El láser permite cortar y coagular simultáneamente, lo que reduce el sangrado, minimiza las molestias postoperatorias y en muchos casos elimina la necesidad de sutura. La recuperación es más rápida y cómoda que con la técnica convencional.
En Innovación Clínica realizamos frenectomías con láser dental de última generación, lo que nos permite ofrecer a nuestros pacientes un procedimiento más cómodo, más rápido y con una recuperación más sencilla.
👉 ¿Tienes un frenillo prominente o un diastema que te preocupa? Pide tu valoración en Innovación Clínica y te explicamos exactamente qué está causando el espacio entre tus dientes y cuál es la mejor solución para tu caso.

¿Primero la frenectomía o primero la ortodoncia?
Esta es una de las preguntas más frecuentes cuando se plantea un tratamiento combinado de frenectomía y ortodoncia para cerrar un diastema. Y la respuesta, como tantas veces en odontología, es: depende.
Existen diferentes protocolos y los especialistas no siempre están de acuerdo en cuál es el orden más adecuado. Estas son las opciones más habituales:
Frenectomía antes de la ortodoncia: Permite que el tejido cicatrice antes de comenzar el movimiento dental. Algunos especialistas prefieren este enfoque porque la cicatriz fibrosa que queda tras la frenectomía puede ayudar a mantener el espacio cerrado una vez que la ortodoncia lo ha conseguido.
Frenectomía durante la ortodoncia: Muchos ortodoncistas prefieren esperar a que la ortodoncia haya cerrado casi completamente el diastema antes de realizar la frenectomía. El razonamiento es que si se opera el frenillo antes de cerrar el espacio, la cicatriz puede dificultar el movimiento dental. Además, al operar con el espacio ya casi cerrado, se puede ver exactamente cuánto tejido hay que eliminar.
Frenectomía después de la ortodoncia: Algunos especialistas prefieren cerrar primero el diastema con ortodoncia y luego realizar la frenectomía para prevenir la recidiva. El inconveniente es que si no se opera el frenillo, el espacio puede volver a abrirse antes de que se pueda realizar la intervención.
En la práctica, el protocolo más habitual y el que cuenta con mayor respaldo en la literatura científica es realizar la frenectomía cuando la ortodoncia ha cerrado casi completamente el diastema, dejando solo un pequeño espacio residual. Esto permite operar con precisión y minimizar el riesgo de recidiva.
Lo más importante es que el ortodoncista y el cirujano o periodoncista que van a realizar la frenectomía trabajen de forma coordinada y planifiquen juntos el tratamiento.

Tratamiento del diastema sin frenectomía: ¿es posible?
En algunos casos, el diastema puede tratarse sin necesidad de intervenir el frenillo. Esto es posible cuando:
- El frenillo no está contribuyendo de forma significativa al diastema
- El diastema es pequeño y la causa es principalmente una discrepancia de tamaño
- El paciente no quiere someterse a una intervención quirúrgica
En estos casos, las opciones de tratamiento incluyen:
Ortodoncia: Cierra el espacio moviendo los dientes hacia el centro. Es la opción más conservadora y la que ofrece resultados más naturales. El riesgo de recidiva es mayor si no se interviene el frenillo cuando este está contribuyendo al diastema.
Carillas de composite o porcelana: Aumentan el tamaño de los incisivos centrales para cerrar visualmente el espacio. Es una solución rápida y estética, aunque no mueve los dientes sino que los hace parecer más grandes. Puede ser una buena opción cuando el diastema es pequeño o cuando los dientes son proporcionalmente pequeños.
Combinación de ortodoncia y carillas: En algunos casos, la ortodoncia cierra parte del espacio y las carillas terminan de ajustar la estética final.

El diastema en niños: ¿hay que preocuparse?
Muchos padres se alarman cuando ven que su hijo tiene un espacio entre los dientes frontales. En la mayoría de los casos, no hay motivo de preocupación inmediata.
Durante la dentición temporal (los dientes de leche), es completamente normal que existan espacios entre los dientes. De hecho, esos espacios son necesarios para que los dientes definitivos, que son más grandes, tengan sitio para erupcionar correctamente.
Cuando empiezan a salir los dientes definitivos, es habitual que los incisivos centrales superiores erupcionen con un diastema que puede parecer importante. Esto se conoce como «fase del patito feo» y es una etapa completamente normal del desarrollo dental. En la mayoría de los casos, cuando erupcionan los incisivos laterales y los caninos, el diastema se cierra de forma espontánea por la presión que ejercen estos dientes sobre los centrales.
Por eso los especialistas generalmente recomiendan esperar hasta que hayan erupcionado todos los dientes definitivos anteriores (incisivos y caninos) antes de tomar decisiones sobre el tratamiento del diastema en niños. Solo si el espacio persiste después de la erupción completa de estos dientes, o si el frenillo es claramente problemático, se plantea la intervención.

Cuidados después de la frenectomía
Si finalmente se decide realizar una frenectomía, estos son los cuidados más importantes durante la recuperación:
Las primeras 24 horas: Aplicar frío en la zona (hielo envuelto en un paño, nunca directamente sobre la piel) para reducir la inflamación. Dieta blanda y fría. Evitar enjuagues vigorosos para no desplazar el coágulo.
Los primeros días: Tomar los analgésicos prescritos por el profesional. Mantener una higiene suave en la zona operada. Evitar alimentos duros, picantes o muy calientes.
Las primeras semanas: Realizar los ejercicios de movilización del labio que indique el profesional para evitar que la cicatriz quede retraída. Acudir a las revisiones programadas.
La recuperación completa suele producirse en dos o tres semanas, aunque las molestias más importantes desaparecen en los primeros días.

Preguntas frecuentes sobre el frenillo labial y el diastema
¿El frenillo labial vuelve a crecer después de la frenectomía? Si la frenectomía se realiza correctamente, eliminando el tejido hasta la base, la recidiva es muy poco frecuente. Con la técnica láser el riesgo de recidiva es aún menor.
¿La frenectomía duele mucho? Con anestesia local, el procedimiento en sí no duele. Las molestias postoperatorias son generalmente leves y bien controladas con analgésicos convencionales. La técnica láser suele ser más cómoda que la convencional.
¿A qué edad se puede operar el frenillo en niños? No hay una edad mínima estricta, pero como hemos explicado, generalmente se recomienda esperar a que hayan erupcionado los caninos definitivos antes de tomar la decisión. En casos muy severos que estén causando problemas claros, puede intervenirse antes.
¿El diastema puede cerrarse solo sin tratamiento? En niños, sí es posible que se cierre de forma espontánea con el desarrollo dental. En adultos, un diastema establecido no se cierra solo y requiere tratamiento si se quiere corregir.
¿Cuánto cuesta una frenectomía? El precio varía según la técnica utilizada y la clínica. En España, una frenectomía labial puede costar entre 150 y 400 euros. La técnica láser suele tener un coste algo superior a la convencional, aunque la diferencia en comodidad y recuperación suele justificarlo.

Frenillo, diastema y la importancia de una valoración completa
La relación entre el frenillo labial superior y el diastema interincisivo es real pero no universal. No todo diastema es culpa del frenillo, y no todo frenillo prominente causa diastema. La clave está en una valoración completa e individualizada que identifique exactamente cuál es la causa del espacio en cada caso concreto.
Si tienes un diastema que te preocupa, ya sea por motivos estéticos o funcionales, lo más importante es consultar con un profesional que pueda analizar tu situación en profundidad: el estado del frenillo, el tamaño de los dientes, la mordida, los hábitos y cualquier otro factor que pueda estar contribuyendo al problema.
Con esa información, se puede diseñar un plan de tratamiento personalizado que aborde la causa real del diastema y ofrezca resultados duraderos. Porque cerrar un espacio sin tratar la causa que lo produce es, en muchos casos, una solución temporal que tarde o temprano acaba fallando.
En Innovación Clínica contamos con especialistas en ortodoncia, periodoncia y cirugía oral que trabajan de forma coordinada para ofrecerte el tratamiento más completo y eficaz para tu caso. Si tienes un diastema o un frenillo que te preocupa, estamos aquí para ayudarte.
👉 Pide tu valoración en hoy mismo y descubre cuál es la solución más adecuada para tu caso. Tu sonrisa merece una respuesta personalizada, no genérica.

