Sonríes.
Tus dientes están blancos. Perfectos. Has invertido en blanqueamiento, quizás en carillas, en ortodoncia.
Pero algo no te convence cuando te miras al espejo.
Tus encías. Esas encías oscuras, marrones, casi negras en algunas zonas. Contrastan con tus dientes blancos de una forma que no te gusta.
Y cuando sonríes ampliamente, se notan.
Buscas información. «Encías oscuras». «Encías marrones». «¿Por qué tengo las encías negras?».
Y encuentras poco. Muy poco.
Algunos artículos hablan de enfermedades. Otros te dicen que es «normal» y que no puedes hacer nada. Otros mencionan tratamientos pero sin explicar realmente cómo funcionan o si son seguros.
La verdad es que las encías oscuras son un tema del que casi nadie habla abiertamente.
No es una enfermedad. No duele. No es peligroso. Pero afecta tu estética. Tu confianza. La forma en que sonríes en fotos. La forma en que te sientes cuando hablas con alguien de cerca.
Y sí, tiene solución.
Se llama despigmentación gingival. Y es un procedimiento que puede devolver a tus encías un tono rosado uniforme, eliminando esas manchas oscuras que tanto te incomodan.
Pero antes de que corras a hacértelo, necesitas entender:
- Qué causa realmente las encías oscuras
- Cuándo es melanosis gingival y cuándo puede ser otra cosa
- Qué tratamientos existen (y cuáles funcionan de verdad)
- Cómo es el procedimiento paso a paso
- Qué esperar durante la recuperación
- Cuánto cuesta y cuánto dura el resultado
- Riesgos y contraindicaciones
Este artículo existe para darte toda esa información.
Sin rodeos. Sin promesas mágicas. Sin venderte algo que no necesitas.
Solo la verdad sobre un procedimiento estético que puede cambiar completamente la forma en que percibes tu sonrisa.
Porque tu sonrisa no termina en los dientes. Las encías importan. Y mereces sentirte bien con cada parte de ella.
Vamos a empezar por entender qué diablos está pasando en tus encías.
Qué Es La Melanosis Gingival (Y Por Qué Tienes Las Encías Oscuras)
La ciencia detrás del color de tus encías
El color de tus encías viene determinado principalmente por la melanina.
Melanina: Pigmento producido por células llamadas melanocitos, que se encuentran en la capa basal del epitelio gingival.
Cuanta más melanina produces y depositas en tus encías, más oscuras se ven.
Esto es exactamente el mismo mecanismo que determina el color de tu piel, cabello y ojos.
Encías normales y sanas pueden ser:
- Rosa pálido
- Rosa coral
- Rosa oscuro
- Marrón claro
- Marrón oscuro
- Casi negro
Todos estos colores pueden ser completamente normales y saludables.
El problema no es médico. Es estético.
Qué es la melanosis gingival
Definición técnica:
Melanosis gingival (o hiperpigmentación gingival fisiológica) es la pigmentación marrón o negra de las encías causada por un aumento en la producción y deposición de melanina en el tejido gingival.
Características:
- No es una enfermedad: Es una variación fisiológica normal
- No causa síntomas: No duele, no sangra, no inflama
- No es contagiosa: Es genética/constitucional
- No es peligrosa: No tiene riesgos para la salud
- Es estética: El único «problema» es cosmético
Tipos de pigmentación:
1. Pigmentación racial/étnica
- Más común en personas de piel oscura (africanos, afrodescendientes, asiáticos, mediterráneos, latinos)
- Genéticamente determinada
- Presente desde la infancia o adolescencia
- Bilateral y simétrica generalmente
2. Pigmentación adquirida
- Aparece más tarde en la vida
- Puede ser por factores externos (tabaco, medicamentos, trauma)
- Puede ser asimétrica
Causas de las encías oscuras
1. Genética (la causa más común)
Si tus padres tienen encías oscuras, probablemente tú también.
La cantidad de melanina que produces está genéticamente programada.
Poblaciones con mayor incidencia:
- Africanos y afrodescendientes: 60-100%
- Asiáticos: 20-50%
- Mediterráneos: 10-30%
- Caucásicos del norte de Europa: 5-10%
2. Tabaco (melanosis del fumador)
El tabaco estimula la producción de melanina en las encías.
Características:
- Aparece después de años de fumar
- Puede ser reversible si dejas de fumar (pero tarda años)
- Más pronunciada en fumadores de larga duración
- Afecta también labios y paladar
3. Medicamentos
Algunos medicamentos pueden causar pigmentación gingival:
- Minociclina (antibiótico): Pigmentación gris-azulada
- Antipalúdicos (cloroquina, hidroxicloroquina): Pigmentación marrón-gris
- Antipsicóticos (clorpromazina): Pigmentación gris
- Quimioterapia: Pigmentación temporal
4. Metales pesados
Exposición ocupacional o ambiental:
- Plomo: Línea gris-azulada en encías
- Bismuto: Pigmentación gris-negra
- Mercurio: Pigmentación gris (raro hoy en día)
- Plata: Pigmentación gris-azulada (argiria)
5. Enfermedades sistémicas (raras)
- Enfermedad de Addison: Pigmentación generalizada (piel y mucosas)
- Síndrome de Peutz-Jeghers: Manchas en labios y mucosa oral
- Neurofibromatosis: Manchas café con leche en piel y mucosas
6. Trauma o irritación crónica
- Restauraciones dentales mal ajustadas
- Prótesis que rozan
- Trauma repetido
7. Amalgamas dentales (tatuaje de amalgama)
- Partículas de amalgama incrustadas en la encía
- Manchas grises o negras localizadas
- No es melanosis, es depósito metálico
Cómo saber si es melanosis gingival o algo más serio
Melanosis gingival (benigna):
- Color marrón o negro uniforme
- No elevada (plana)
- No cambia de tamaño
- No sangra
- No duele
- Presente desde hace tiempo
- Bilateral y simétrica (generalmente)
Señales de alarma (consulta inmediatamente):
- Mancha nueva que crece rápidamente
- Mancha elevada o con bulto
- Sangrado espontáneo de la mancha
- Dolor en la zona pigmentada
- Úlcera que no cicatriza
- Cambio de color o textura reciente
- Asimetría marcada
- Bordes irregulares
Estas señales pueden indicar:
- Melanoma oral (cáncer, muy raro pero grave)
- Nevus (lunar) oral
- Otras lesiones que requieren biopsia
SIEMPRE consulta con un dentista o periodoncista para diagnóstico diferencial antes de considerar tratamiento estético.
Diagnóstico: Qué esperar en la consulta
1. Historia clínica
- ¿Desde cuándo tienes las encías oscuras?
- ¿Fumas o has fumado?
- ¿Tomas medicamentos?
- ¿Antecedentes familiares?
- ¿Exposición a metales?
2. Examen visual
- Color, distribución, simetría
- Textura de la encía
- Signos de inflamación o enfermedad
3. Fotografías
- Documentación del estado inicial
- Comparación post-tratamiento
4. Biopsia (si hay duda)
- Solo si hay características sospechosas
- Descarta lesiones malignas
- Confirma diagnóstico
Si el diagnóstico es melanosis gingival fisiológica (benigna), puedes proceder con tratamiento estético si lo deseas.

Tratamientos De Despigmentación Gingival: Qué Funciona (Y Qué No)
Opciones de tratamiento disponibles
Existen varios métodos para eliminar la pigmentación gingival. No todos son iguales.
1. Cirugía con bisturí (técnica clásica)
Cómo funciona:
Se elimina quirúrgicamente la capa superficial del epitelio gingival pigmentado con bisturí.
Ventajas:
- Efectivo
- Bajo coste
- No requiere equipo especial
Desventajas:
- Muy doloroso post-operatorio
- Sangrado durante y después
- Recuperación larga (2-3 semanas)
- Riesgo de cicatrices
- Riesgo de recesión gingival
- Requiere sutura en algunos casos
Veredicto: Efectivo pero obsoleto. Hay métodos mucho mejores.
2. Láser (técnica moderna preferida)
Tipos de láser usados:
- Láser de diodo (810-980 nm)
- Láser de CO2
- Láser de Nd:YAG
- Láser de Er:YAG
Cómo funciona:
El láser vaporiza selectivamente la capa superficial pigmentada del epitelio gingival.
Ventajas:
- Mínimamente invasivo
- Poco o ningún sangrado (el láser coagula)
- Menos dolor post-operatorio
- Recuperación más rápida (7-10 días)
- Precisión (control exacto de profundidad)
- Efecto bactericida (reduce riesgo de infección)
- No requiere sutura
- Menor riesgo de recesión
Desventajas:
- Más caro (requiere equipo especializado)
- Requiere profesional entrenado
- Puede necesitar más de una sesión en casos severos
Veredicto: Técnica de elección actual. Mejor relación beneficio/molestia.
3. Electrocirugía
Cómo funciona:
Corriente eléctrica de alta frecuencia elimina el tejido pigmentado.
Ventajas:
- Efectivo
- Menos sangrado que bisturí
- Coste moderado
Desventajas:
- Más doloroso que láser
- Riesgo de daño térmico a tejidos profundos
- Recuperación más lenta que láser
- Puede causar necrosis ósea si se usa incorrectamente
Veredicto: Opción intermedia. Menos usado hoy en día.
4. Crioterapia (congelación)
Cómo funciona:
Nitrógeno líquido congela y destruye las células pigmentadas.
Ventajas:
- Poco sangrado
- Relativamente económico
Desventajas:
- Difícil controlar profundidad
- Puede causar necrosis excesiva
- Recuperación dolorosa
- Poco predecible
- Raramente usado para encías
Veredicto: Poco común para este propósito.
5. Abrasión con fresa rotativa
Cómo funciona:
Se «lija» la capa superficial pigmentada con fresa dental.
Ventajas:
- Bajo coste
- Equipo disponible en cualquier clínica
Desventajas:
- Muy doloroso
- Sangrado
- Difícil controlar profundidad
- Riesgo de daño excesivo
- Recuperación incómoda
Veredicto: Obsoleto. No recomendado.
6. Injerto de encía libre
Cómo funciona:
Se elimina la encía pigmentada y se reemplaza con un injerto de encía no pigmentada del paladar.
Cuándo se usa:
- Cuando hay recesión gingival además de pigmentación
- Cuando se necesita aumentar grosor de encía
Ventajas:
- Resuelve pigmentación y recesión simultáneamente
- Resultado duradero
Desventajas:
- Cirugía mayor
- Muy doloroso (dos zonas quirúrgicas)
- Recuperación larga (3-4 semanas)
- Muy caro
- Requiere cirujano periodontal experto
Veredicto: Solo para casos específicos con indicación adicional.
Comparación de tratamientos
| Método | Dolor | Sangrado | Recuperación | Coste | Recomendación |
|---|---|---|---|---|---|
| Bisturí | Alto | Alto | 2-3 semanas | Bajo | ❌ Obsoleto |
| Láser | Bajo | Mínimo | 7-10 días | Alto | ✅ Mejor opción |
| Electrocirugía | Medio | Medio | 10-14 días | Medio | ⚠️ Aceptable |
| Crioterapia | Medio | Bajo | 10-14 días | Medio | ❌ Poco usado |
| Abrasión | Alto | Alto | 2-3 semanas | Bajo | ❌ No recomendado |
| Injerto | Muy alto | Alto | 3-4 semanas | Muy alto | ⚠️ Solo casos específicos |
Recomendación general: Láser de diodo o CO2 en manos expertas.

El Procedimiento Con Láser: Paso A Paso
Antes del procedimiento
1. Consulta inicial
- Evaluación de encías
- Diagnóstico diferencial
- Fotografías
- Explicación del procedimiento
- Expectativas realistas
- Consentimiento informado
2. Preparación
Una semana antes:
- Limpieza dental profesional (elimina placa y sarro)
- Encías deben estar sanas (sin gingivitis)
- Si hay inflamación, se trata primero
24 horas antes:
- Evita alcohol
- Evita anticoagulantes (aspirina, ibuprofeno) si es posible (consulta con médico)
- Cepillado suave pero completo
El día del procedimiento:
- Come normalmente antes (no vayas en ayunas)
- Cepilla bien los dientes
- No uses maquillaje en labios
- Ropa cómoda
Durante el procedimiento
Duración: 30-60 minutos (dependiendo de la extensión)
Paso 1: Anestesia local
- Inyección de anestésico local en las encías
- Espera 5-10 minutos para que haga efecto
- No sentirás dolor durante el procedimiento
Paso 2: Protección
- Gafas protectoras para ti
- Aislamiento de la zona
- Protección de dientes y labios
Paso 3: Aplicación del láser
- El periodoncista pasa el láser sobre las zonas pigmentadas
- El láser vaporiza la capa superficial del epitelio
- Verás humo (es normal, es tejido vaporizándose)
- Olerás a «quemado» (también normal)
- No sentirás dolor (solo presión o calor leve)
- El tejido se vuelve blanquecino inmediatamente
Paso 4: Limpieza
- Se limpia la zona con suero fisiológico
- Se verifica que toda la pigmentación se ha eliminado
- Se revisa hemostasia (que no sangre)
Paso 5: Instrucciones post-operatorias
- Explicación de cuidados
- Prescripción de medicamentos
- Programación de revisión
No se necesitan puntos. No hay sangrado significativo.
Después del procedimiento: Qué esperar
Primeras 24 horas:
- Aspecto: Encías blanquecinas o grisáceas (tejido necrótico superficial)
- Sensación: Molestia leve a moderada (como quemadura)
- Sangrado: Ninguno o mínimo
- Inflamación: Leve
Qué hacer:
- Analgésicos según prescripción (paracetamol, ibuprofeno)
- Dieta blanda y fría (helado, yogur, purés)
- Evita alimentos calientes, picantes, ácidos
- No cepilles la zona tratada (solo enjuaga suavemente)
- Enjuagues con clorhexidina 0.12% (2-3 veces al día)
- Aplica hielo externamente si hay inflamación
Días 2-7:
- Aspecto: Capa blanquecina se desprende gradualmente, encía rosada debajo
- Sensación: Molestia disminuye progresivamente
- Cicatrización: Epitelio nuevo se forma
Qué hacer:
- Continúa dieta blanda
- Cepillado MUY suave de la zona (cepillo ultra-suave)
- Continúa enjuagues con clorhexidina
- Evita tabaco y alcohol (retrasan cicatrización)
- Evita ejercicio intenso
Días 7-14:
- Aspecto: Encía rosada, aspecto casi normal
- Sensación: Molestia mínima o ninguna
- Cicatrización: Casi completa superficialmente
Qué hacer:
- Retoma cepillado normal (aún suave)
- Retoma dieta normal gradualmente
- Revisión con el periodoncista
Semanas 2-4:
- Aspecto: Encía completamente cicatrizada, color rosado uniforme
- Sensación: Normal
- Resultado final visible
Cicatrización completa profunda: 4-6 semanas
Medicamentos típicamente prescritos
1. Analgésicos
- Paracetamol 1g cada 8h (3-5 días)
- Ibuprofeno 400-600mg cada 8h (3-5 días)
2. Enjuague antiséptico
- Clorhexidina 0.12% (2-3 veces al día, 10-14 días)
3. Antibióticos (no siempre necesarios)
- Solo si hay riesgo de infección o área extensa tratada
- Amoxicilina 500mg cada 8h (7 días)
4. Corticoides (raramente)
- Solo si hay inflamación significativa esperada
- Prednisona dosis decreciente
Complicaciones posibles (raras)
Complicaciones menores:
- Dolor más intenso de lo esperado: Toma analgésicos según prescripción
- Sangrado leve: Presión con gasa húmeda 10 minutos
- Inflamación: Hielo externo, antiinflamatorios
- Mal sabor: Normal por tejido necrótico, mejora con enjuagues
Complicaciones que requieren contactar al periodoncista:
- Sangrado abundante que no para
- Dolor severo no controlado con analgésicos
- Fiebre (>38°C)
- Inflamación severa
- Signos de infección (pus, mal olor intenso)
- Reacción alérgica a medicamentos
Complicaciones a largo plazo (muy raras):
- Recesión gingival: Si se elimina demasiado tejido (por eso es crucial un profesional experto)
- Cicatrices: Extremadamente raro con láser
- Repigmentación: Posible (ver siguiente sección)

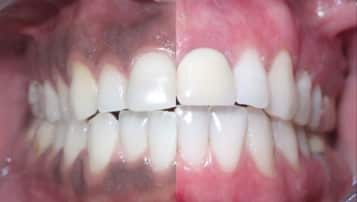
Resultados, Duración Y Repigmentación
Resultados esperados
Inmediatos (después de cicatrización completa):
- Encías rosadas uniformes
- Eliminación de 90-100% de la pigmentación
- Aspecto natural
- Sonrisa más armónica
Satisfacción del paciente:
Estudios reportan 85-95% de satisfacción con el resultado estético.
¿Cuánto dura el resultado?
La pregunta del millón: ¿Vuelve la pigmentación?
La respuesta honesta: Puede volver, pero no siempre.
Factores que determinan la duración:
1. Causa de la pigmentación
- Genética: Mayor probabilidad de repigmentación (los melanocitos siguen ahí)
- Tabaco: Si dejas de fumar, menor repigmentación; si sigues fumando, volverá
- Medicamentos: Si continúas el medicamento, puede volver
2. Profundidad del tratamiento
- Si se elimina solo epitelio superficial: Mayor probabilidad de repigmentación
- Si se elimina hasta capa basal (donde están los melanocitos): Menor probabilidad
3. Genética individual
- Algunas personas repigmentan más rápido que otras
4. Cuidados post-tratamiento
- Protección solar (sí, también para las encías si sonríes mucho al sol)
- Evitar irritantes
Estadísticas de repigmentación:
- A 1 año: 10-20% muestran repigmentación leve
- A 3 años: 30-50% muestran algún grado de repigmentación
- A 5 años: 50-70% muestran repigmentación (generalmente menos intensa que la original)
Importante: La repigmentación, cuando ocurre, suele ser:
- Más leve que la original
- Más lenta en aparecer
- Tratable con sesión de retoque
Retoques y mantenimiento
Si hay repigmentación, puedes hacer retoques:
- Más sencillos que el tratamiento inicial (menos área)
- Menos dolorosos (menos extensión)
- Más económicos
- Recuperación más rápida
Frecuencia de retoques (si son necesarios):
- Cada 3-7 años en promedio
- Algunas personas nunca necesitan retoque
- Otras pueden necesitar cada 2-3 años
Mantenimiento preventivo:
- Higiene oral excelente
- No fumar
- Protección solar si sonríes mucho al sol
- Revisiones periódicas

Coste Del Tratamiento
Precio en España (2024-2025)
Despigmentación gingival con láser:
| Extensión | Precio |
|---|---|
| Zona pequeña (1-2 dientes) | 150€ – 300€ |
| Zona moderada (3-6 dientes) | 300€ – 600€ |
| Arcada completa (superior o inferior) | 600€ – 1.200€ |
| Ambas arcadas (sonrisa completa) | 1.000€ – 2.000€ |
Factores que afectan el precio:
- Extensión de la pigmentación
- Intensidad de la pigmentación
- Tipo de láser usado
- Experiencia del profesional
- Ubicación de la clínica (ciudad grande vs. pequeña)
- Prestigio de la clínica
Qué incluye típicamente:
- Consulta inicial
- Fotografías
- Procedimiento con láser
- Anestesia local
- Medicamentos post-operatorios
- Revisión post-tratamiento
Qué NO suele incluir:
- Limpieza dental previa (50-80€ adicionales)
- Tratamiento de gingivitis si es necesario
- Retoques futuros (se cobran aparte)
¿Vale la pena la inversión?
Considera el tratamiento si:
- La pigmentación te afecta emocionalmente
- Evitas sonreír ampliamente por las encías oscuras
- Has invertido en blanqueamiento/carillas y quieres armonía completa
- Tienes una profesión donde la imagen es importante
- Simplemente quieres sentirte mejor con tu sonrisa
Puede no valer la pena si:
- La pigmentación es muy leve
- No te molesta estéticamente
- No puedes permitirte el coste
- Tienes expectativas de resultado permanente garantizado (no existe)
Comparación con otros tratamientos estéticos dentales:
- Blanqueamiento dental: 200-400€ (temporal, 1-2 años)
- Carillas de composite: 150-300€/diente (5-10 años)
- Carillas de porcelana: 400-800€/diente (10-20 años)
- Despigmentación gingival: 600-2.000€ (3-7+ años, retocable)
Relación coste-beneficio: Buena si te afecta estéticamente.

Contraindicaciones Y Precauciones
Quién NO debe hacerse el tratamiento
Contraindicaciones absolutas:
- Embarazo y lactancia: Por precaución (aunque no hay evidencia de daño)
- Enfermedad periodontal activa: Primero hay que tratar la enfermedad
- Gingivitis severa: Primero hay que resolver la inflamación
- Lesiones sospechosas no diagnosticadas: Primero biopsia
- Trastornos de coagulación no controlados: Riesgo de sangrado
- Inmunosupresión severa: Riesgo de infección y mala cicatrización
Contraindicaciones relativas (evaluar caso por caso):
- Diabetes no controlada: Cicatrización comprometida
- Fumadores: Mayor riesgo de complicaciones y repigmentación rápida
- Medicamentos fotosensibilizantes: Pueden interactuar con láser
- Queloides o cicatrización anormal: Mayor riesgo de cicatrices
- Expectativas irreales: Resultado permanente garantizado no existe
Precauciones especiales
Si tomas anticoagulantes:
- Consulta con tu médico antes
- Puede ser necesario ajustar dosis temporalmente
- Mayor riesgo de sangrado
Si tienes marcapasos:
- Informa al periodoncista
- Algunos láseres pueden interferir (aunque es raro)
Si tienes alergias:
- Informa sobre alergias a anestésicos o medicamentos
Si tienes herpes labial recurrente:
- Puede ser necesario profilaxis antiviral

Alternativas Si No Quieres Tratamiento
Opciones no invasivas
1. Aceptación
- Las encías oscuras son normales y saludables
- No hay nada «malo» en ellas
- Muchas personas las tienen y están perfectamente cómodas
2. Maquillaje dental temporal
- Existen productos para «maquillar» encías temporalmente
- Poco prácticos para uso diario
- No muy naturales
3. Modificar tu sonrisa
- Sonreír de forma que se vean menos las encías
- No es solución real, pero algunas personas lo prefieren
4. Enfocarte en otros aspectos
- Dientes blancos y alineados
- Labios bien cuidados
- Confianza general
Tratamientos futuros prometedores
Investigación en curso:
- Inhibidores de melanina tópicos: Cremas que reducen producción de melanina
- Terapia génica: Modificar melanocitos (muy lejano)
- Láseres más selectivos: Que solo afecten melanina sin dañar tejido
Por ahora, el láser sigue siendo el gold standard.

Preguntas Frecuentes (Las Que Realmente Importan)
¿Duele el procedimiento?
No durante (anestesia local). Después, molestia leve-moderada controlable con analgésicos comunes.
¿Cuánto tiempo estoy «fuera de servicio»?
Puedes trabajar al día siguiente (aunque las encías se ven blanquecinas). Aspecto normal en 7-10 días.
¿Se nota que me he hecho algo?
Los primeros días sí (encías blanquecinas). Después de 2 semanas, nadie notará que te hiciste algo, solo que tus encías se ven más rosadas.
¿Puedo comer normal después?
Dieta blanda y fría los primeros 3-5 días. Después, gradualmente normal.
¿Afecta la salud de mis encías?
No, si se hace correctamente. Se elimina solo la capa superficial que se regenera.
¿Puedo hacerlo si tengo brackets?
Mejor esperar a terminar la ortodoncia.
¿Funciona en todo tipo de pigmentación?
Funciona en melanosis gingival. No funciona en tatuajes de amalgama (requieren cirugía).
¿Cuántas sesiones necesito?
Generalmente una. Casos muy severos pueden necesitar dos.
¿Puedo hacerlo solo en la encía superior?
Sí, puedes elegir qué zonas tratar.
¿Qué pasa si no me gusta el resultado?
El resultado es encías rosadas. Si no te gusta, la pigmentación eventualmente puede volver (no puedes «revertir» activamente).

Tu Sonrisa Completa: Dientes Y Encías
Las encías oscuras no son una enfermedad. No son peligrosas. No son señal de mala higiene.
Son simplemente una variación normal del color de tus tejidos.
Pero si te afectan estéticamente, si te hacen sentir cohibido, si evitas sonreír ampliamente por ellas, tienes opciones.
La despigmentación gingival con láser es:
- Segura
- Efectiva
- Mínimamente invasiva
- Con recuperación rápida
- Con resultados naturales
No es permanente para siempre. Pero puede durar años. Y es retocable.
Lo importante es:
- Consultar con un periodoncista experto (no cualquier dentista)
- Asegurarte de que es melanosis benigna (diagnóstico correcto)
- Tener expectativas realistas (puede repigmentar con el tiempo)
- Elegir láser como técnica (mejor que bisturí u otros métodos)
- Seguir cuidados post-operatorios (para mejor resultado y cicatrización)
Tu sonrisa no termina en los dientes.
Las encías son el marco de tu sonrisa. Y si quieres que ese marco sea rosado en lugar de oscuro, ahora sabes que es posible.
Investiga. Consulta. Decide.
Porque tu sonrisa es tuya. Y mereces sentirte completamente bien con cada parte de ella.
Tu boca. Tu estética. Tu elección.

