Hay un momento incómodo que muchos viven en silencio: te miras al espejo y notas que tus dientes ya no están donde solían estar.
Ese incisivo que antes estaba recto ahora se solapa con su vecino. Ese canino que «siempre estuvo un poco torcido» ahora parece más prominente. Esos espacios que tenías de adolescente se han cerrado… o, peor aún, se han abierto en lugares nuevos.
Y te preguntas: ¿Cómo es posible? ¿No se supone que los dientes se quedan quietos una vez que terminan de salir?
La respuesta corta es: No. Tus dientes nunca dejan de moverse.
Y eso no es necesariamente malo. El problema empieza cuando ese movimiento natural se convierte en desorden, cuando la falta de espacio empuja a tus dientes a competir por un lugar que no existe, cuando la sonrisa que tenías empieza a transformarse en algo que no reconoces.
Eso es el apiñamiento dental. Y es mucho más común de lo que crees.
Pero aquí está la buena noticia: el apiñamiento no es una sentencia permanente. No es «algo con lo que tienes que vivir». No es «demasiado tarde para hacer algo».
Es un problema con causas identificables, señales predecibles y soluciones reales que van desde ajustes conservadores hasta tratamientos completos que transforman tu sonrisa sin drama, sin dolor insoportable y, en muchos casos, sin que nadie note que llevas ortodoncia.
Este artículo no es un catálogo de opciones genéricas ni una lista de «consulta con tu dentista». Es una conversación honesta sobre por qué tus dientes se mueven, qué señales indican que el problema está avanzando, cómo se estudia tu caso de forma profesional y qué tratamientos funcionan de verdad para alinear, estabilizar y mantener tu sonrisa en el lugar correcto.
Si alguna vez pensaste «mis dientes se están moviendo y no sé por qué», si te da vergüenza sonreír en fotos, si llevas años posponiendo una solución porque crees que será complicado o caro…
Esto es para ti.
Porque entender tu boca es el primer paso para recuperar la confianza en tu sonrisa. Y ese paso empieza ahora.
La Verdad Incómoda: Tus Dientes Nunca Dejan De Moverse (Y Eso No Es Malo… Hasta Que Lo Es)
Por qué el movimiento dental es normal (y necesario)
Tus dientes no están clavados en el hueso como postes de cemento. Están suspendidos en un sistema vivo, dinámico, que responde a fuerzas constantes.
Cada vez que masticas, cada vez que tragas, cada vez que hablas, tus dientes reciben presión.
Y esa presión los mueve. Microscópicamente, pero los mueve.
El ligamento periodontal (esa fina capa de tejido entre la raíz del diente y el hueso) actúa como un amortiguador inteligente. Permite que el diente se adapte a las fuerzas, que se reposicione ligeramente, que «busque» su lugar de equilibrio.
Este movimiento es fisiológico. Es parte de cómo tu boca se adapta al desgaste, al crecimiento, a los cambios de tu vida.
El problema empieza cuando ese equilibrio se rompe.
Cuándo el movimiento se convierte en apiñamiento
El apiñamiento dental ocurre cuando no hay suficiente espacio en tu arcada para que todos los dientes se alineen correctamente.
Imagina una fila de sillas en una sala de espera. Si hay 10 sillas y llegan 10 personas, todos se sientan cómodamente. Pero si hay 10 sillas y llegan 12 personas, alguien quedará de pie, alguien se sentará de lado, alguien se apretará contra otro.
Eso es exactamente lo que pasa en tu boca.
Cuando el espacio disponible es menor que el espacio necesario, los dientes compiten. Y en esa competencia, algunos se rotan, otros se solapan, otros se desplazan hacia adelante o hacia atrás.
El resultado: una sonrisa desorganizada, difícil de limpiar y, a menudo, incómoda.
Los tres tipos de apiñamiento (y por qué importa distinguirlos)
No todos los apiñamientos son iguales. Entender qué tipo tienes te ayuda a saber qué esperar y qué soluciones son más adecuadas.
1. Apiñamiento primario (genético):
- Causa: Discrepancia entre el tamaño de tus dientes y el tamaño de tus maxilares
- Ejemplo: Dientes grandes heredados de un padre, maxilares pequeños heredados del otro
- Cuándo aparece: Desde la infancia, cuando erupcionan los dientes permanentes
- Característica: Predecible, visible desde temprano
2. Apiñamiento secundario (adquirido):
- Causa: Pérdida prematura de dientes de leche, hábitos orales (chuparse el dedo, respiración oral), pérdida de dientes permanentes sin reposición
- Ejemplo: Pierdes una muela y los dientes vecinos se inclinan hacia el espacio vacío
- Cuándo aparece: Infancia, adolescencia o adultez, según la causa
- Característica: Prevenible si se actúa a tiempo
3. Apiñamiento terciario (tardío):
- Causa: Cambios naturales del crecimiento facial, erupción de muelas del juicio, pérdida de soporte periodontal, falta de retención tras ortodoncia
- Ejemplo: Tuviste ortodoncia de adolescente, no usaste retenedores, y a los 30 años tus incisivos inferiores empiezan a apiñarse
- Cuándo aparece: Adolescencia tardía y adultez
- Característica: Frustrante porque «ya habías arreglado» tu sonrisa
¿Por qué importa distinguirlos?
Porque el tratamiento y la prevención son diferentes. El apiñamiento primario requiere ortodoncia. El secundario puede prevenirse con mantenedores de espacio o tratamiento temprano. El terciario se previene con retención adecuada y control de hábitos.
La ilusión de la estabilidad: por qué «siempre tuve los dientes así» no es cierto
Muchas personas creen que sus dientes «siempre han estado así». Pero cuando revisamos fotos antiguas, la historia es diferente.
Lo que pasa es que el cambio es tan gradual que tu cerebro no lo registra.
Es como envejecer: no notas las arrugas día a día, pero comparas una foto de hace 10 años y la diferencia es evidente.
Con los dientes pasa lo mismo. Ese apiñamiento que «siempre estuvo ahí» probablemente empezó hace 5, 10 o 15 años. Y ha ido empeorando lentamente, tan lentamente que te acostumbraste.
Hasta que un día te miras al espejo y piensas: «Esto no estaba así antes.»
Y tienes razón. No estaba así.
El ciclo vicioso: cómo el apiñamiento se alimenta a sí mismo
El apiñamiento no es un problema estático. Es dinámico. Y tiende a empeorar con el tiempo.
¿Por qué?
1. Higiene comprometida:
- Los dientes apiñados son difíciles de limpiar
- Se acumula placa en zonas inaccesibles
- Aumenta el riesgo de caries y enfermedad periodontal
2. Pérdida de soporte periodontal:
- La enfermedad periodontal destruye el hueso que sostiene los dientes
- Los dientes con menos soporte se mueven más fácilmente
- El apiñamiento empeora
3. Desgaste irregular:
- Los dientes mal alineados no distribuyen las fuerzas de masticación de forma equilibrada
- Algunos dientes reciben más presión que otros
- Se desgastan, se inclinan, se mueven
4. Pérdida de dientes:
- Si pierdes un diente y no lo repones, los vecinos se inclinan hacia el espacio
- El diente antagonista (el de arriba o abajo) se «extruye» (sale de su posición)
- La mordida se desorganiza aún más
Es un círculo vicioso: el apiñamiento dificulta la higiene, la mala higiene daña el soporte, el soporte débil permite más movimiento, más movimiento genera más apiñamiento.
Romper ese ciclo es urgente. Y cuanto antes, mejor.

Las Fuerzas Invisibles Que Empujan Tus Dientes Fuera De Lugar (Y Cómo Controlarlas)
La lengua: el músculo más poderoso de tu boca
Tu lengua ejerce una presión constante sobre tus dientes. Y esa presión es enorme: varios kilos de fuerza, miles de veces al día.
En una boca equilibrada, la lengua presiona hacia afuera y los labios/mejillas presionan hacia adentro. El resultado: equilibrio.
Pero cuando ese equilibrio se rompe, los dientes se mueven.
Deglución atípica (tragar mal):
- En lugar de que la lengua presione contra el paladar al tragar, presiona contra los dientes
- Resultado: incisivos que se proyectan hacia adelante, espacios que se abren, mordida abierta
Posición baja de la lengua:
- Común en respiradores orales
- La lengua descansa en el suelo de la boca en lugar de en el paladar
- Resultado: maxilar superior estrecho, falta de espacio, apiñamiento
Empuje lingual:
- La lengua empuja los dientes hacia adelante al hablar o en reposo
- Resultado: dientes separados o, paradójicamente, apiñamiento cuando intentan «volver» a su posición
La solución: terapia miofuncional orofacial
Reeducar la postura y función de la lengua puede prevenir y, en algunos casos, corregir parcialmente el apiñamiento. No es magia, es biomecánica.
Respiración oral: el enemigo silencioso de tu sonrisa
Respirar por la boca en lugar de por la nariz tiene consecuencias profundas en tu desarrollo facial y dental.
¿Por qué?
Cuando respiras por la nariz:
- La lengua descansa en el paladar
- Esa presión constante «moldea» el maxilar superior, manteniéndolo ancho
- Hay espacio suficiente para todos los dientes
Cuando respiras por la boca:
- La lengua cae al suelo de la boca
- El maxilar superior no recibe esa presión modeladora
- Se desarrolla estrecho, en forma de «V»
- Resultado: falta de espacio, apiñamiento, mordida cruzada
Causas comunes de respiración oral:
- Alergias crónicas
- Amígdalas o adenoides hipertrofiadas
- Tabique nasal desviado
- Hábito adquirido (incluso sin obstrucción física)
La solución:
- Tratar la causa subyacente (alergias, obstrucción)
- Reeducación respiratoria
- En niños: expansión del maxilar para crear espacio
- En adultos: ortodoncia para optimizar el espacio disponible
Bruxismo y apretamiento: fuerzas destructivas nocturnas
Si aprietas o rechinas los dientes (bruxismo), estás aplicando fuerzas enormes sobre tus dientes, muchas veces superiores a las de la masticación normal.
Consecuencias del bruxismo:
- Desgaste dental: Los dientes se acortan, pierden su forma natural
- Cambios en la mordida: Al cambiar la forma de los dientes, cambia cómo encajan
- Movimiento dental: Las fuerzas excesivas pueden desplazar dientes, especialmente si hay pérdida de soporte periodontal
- Dolor en ATM: La articulación temporomandibular sufre
El bruxismo no causa apiñamiento directamente, pero lo facilita y lo empeora.
La solución:
- Férula de descarga nocturna (protege dientes y redistribuye fuerzas)
- Manejo del estrés
- Fisioterapia de ATM si hay dolor
- Ortodoncia para optimizar la mordida y reducir puntos de contacto prematuro
Pérdida de dientes: el efecto dominó
Cuando pierdes un diente y no lo repones, se desencadena un efecto dominó que afecta a toda tu boca.
Qué pasa cuando falta un diente:
1. Los dientes vecinos se inclinan hacia el espacio vacío
- Pierden su posición vertical
- Se crean espacios nuevos en otros lugares
- La mordida se desorganiza
2. El diente antagonista se extruye
- El diente de arriba (o abajo) que mordía contra el diente perdido empieza a «salir» de su posición
- Pierde contacto con sus vecinos
- Se crea más desorden
3. Pérdida de hueso en la zona del diente perdido
- El hueso necesita estimulación (masticación) para mantenerse
- Sin diente, el hueso se reabsorbe
- Dificulta futuros tratamientos (implantes, ortodoncia)
4. Sobrecarga de los dientes restantes
- Los dientes que quedan tienen que hacer el trabajo del diente perdido
- Se desgastan más rápido
- Aumenta el riesgo de fracturas
La solución:
- Reposición inmediata: implante, puente o prótesis
- Si ya hay movimiento: ortodoncia para reposicionar + reposición del diente perdido
- Prevención: no dejar espacios sin tratar
Enfermedad periodontal: cuando el soporte se debilita
La enfermedad periodontal (enfermedad de las encías) destruye el hueso que sostiene tus dientes.
Y cuando el soporte se debilita, los dientes se mueven.
Señales de enfermedad periodontal:
- Encías que sangran al cepillarse
- Encías rojas, hinchadas o sensibles
- Mal aliento persistente
- Encías que se retraen (dientes que parecen más largos)
- Dientes que se mueven o se separan
- Cambios en la mordida
Cómo la enfermedad periodontal causa apiñamiento:
- La pérdida de hueso reduce el soporte de los dientes
- Los dientes con menos soporte se mueven más fácilmente bajo las fuerzas normales (masticación, lengua)
- Los incisivos superiores se «abren en abanico» (diastemas)
- Los incisivos inferiores se apiñan
La solución:
- Tratamiento periodontal (limpieza profunda, cirugía si es necesario)
- Control de la infección
- Una vez estabilizada la enfermedad: ortodoncia para reposicionar los dientes
- Mantenimiento periodontal de por vida
Importante: No se puede hacer ortodoncia sobre encías enfermas. Primero se trata la enfermedad, luego se mueven los dientes.
Muelas del juicio: ¿culpables o inocentes?
Durante décadas se culpó a las muelas del juicio (terceros molares) de causar apiñamiento en los incisivos inferiores.
La verdad es más compleja.
Lo que sabemos:
- La erupción de las muelas del juicio coincide temporalmente con el apiñamiento tardío (18-25 años)
- Pero la correlación no es causalidad
- Estudios muestran que el apiñamiento tardío ocurre incluso en personas sin muelas del juicio o con muelas del juicio que no erupcionan
Entonces, ¿las muelas del juicio causan apiñamiento?
No directamente. Pero pueden contribuir si:
- Hay poco espacio en la arcada (el problema real es la falta de espacio, no las muelas)
- Erupcionan en mala posición y empujan los dientes vecinos
- Causan inflamación crónica que debilita el soporte periodontal
La solución:
- Evaluación individualizada
- Extracción de muelas del juicio si están impactadas, causan problemas o hay riesgo de complicaciones
- No extraer «por si acaso» si no hay indicación clara
- Retención adecuada tras ortodoncia (más importante que extraer muelas del juicio)

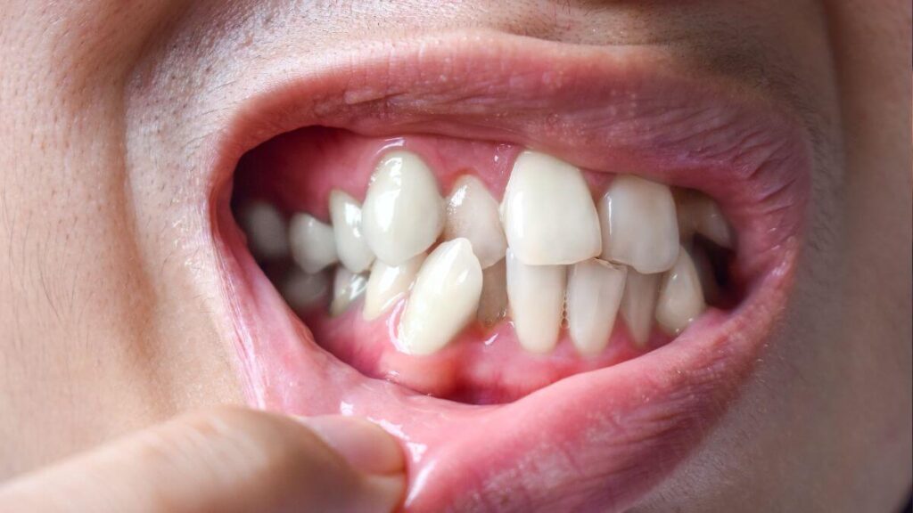
Las Señales Que Tu Boca Te Está Gritando (Y Que Probablemente Estás Ignorando)
Señales visuales: lo que ves en el espejo
Mira tu sonrisa con atención. ¿Reconoces alguna de estas señales?
Dientes que se solapan:
- Un diente está parcialmente «encima» de otro
- Más común en incisivos inferiores y caninos superiores
- Un diente está girado sobre su eje
- Especialmente visible en incisivos laterales superiores
Dientes «salidos» o «metidos»:
- Un diente está más adelante o más atrás que sus vecinos
- Rompe la línea de la sonrisa
Línea media desviada:
- La línea entre tus dos incisivos centrales superiores no coincide con la línea entre los inferiores
- O no coincide con el centro de tu cara
Caninos «altos» o «colmillos de vampiro»:
- Los caninos no tienen espacio para bajar y quedan por encima de la línea de los demás dientes
Triángulos negros entre dientes:
- Espacios oscuros en la base de los dientes, cerca de la encía
- Señal de pérdida de papila gingival, a menudo por apiñamiento y mala higiene
Dientes que «se han movido»:
- Comparas con fotos antiguas y notas cambios claros
- Especialmente común tras ortodoncia sin retención adecuada
Señales funcionales: lo que sientes
El apiñamiento no solo se ve. También se siente.
Dificultad para usar hilo dental:
- El hilo se atasca, se deshilacha o no pasa entre ciertos dientes
- Señal clara de falta de espacio
Comida que se queda atrapada:
- Siempre en los mismos lugares
- Necesitas palillo o cepillo interdental después de cada comida
Sangrado de encías:
- Al cepillarte o usar hilo dental
- Señal de inflamación por placa acumulada en zonas de difícil acceso
Mal aliento persistente:
- A pesar de cepillarte bien
- Causado por placa y restos de comida en zonas inaccesibles
Sensibilidad dental:
- En zonas de apiñamiento
- Por acumulación de placa y posible inicio de caries
Mordida incómoda:
- Sientes que tus dientes no encajan bien
- Muerdes el carrillo o la lengua con frecuencia
- Desgaste irregular visible
Dolor en la mandíbula o ATM:
- Especialmente si el apiñamiento ha cambiado tu mordida
- Chasquidos, dolor al abrir/cerrar, dolor de cabeza
Señales de alarma: cuándo es urgente actuar
Algunas señales indican que el problema está avanzando rápidamente y requiere atención inmediata:
Dientes que se mueven visiblemente:
- Puedes moverlos con la lengua o el dedo
- Señal de pérdida severa de soporte periodontal
- Urgente: consulta inmediata
Dolor al morder:
- Especialmente si es nuevo o está empeorando
- Puede indicar fractura, caries profunda o problema periodontal
Inflamación o absceso:
- Encía hinchada, roja, con pus
- Fiebre, mal sabor
- Urgente: consulta inmediata
Cambios rápidos en la posición dental:
- Notas movimiento en semanas o meses, no años
- Señal de problema periodontal activo o pérdida de soporte
Dientes que se separan (diastemas nuevos):
- Especialmente en incisivos superiores
- Puede indicar enfermedad periodontal o pérdida de dientes posteriores
El test de los 60 segundos: evalúa tu riesgo ahora
Responde estas preguntas con honestidad:
- ¿Tus dientes están más apiñados ahora que hace 5 años? (Compara con fotos)
- ¿El hilo dental se atasca o no pasa en algunos lugares?
- ¿Tus encías sangran al cepillarte?
- ¿Tienes mal aliento a pesar de cepillarte bien?
- ¿Notas desgaste irregular en tus dientes?
- ¿Muerdes tu carrillo o lengua con frecuencia?
- ¿Tuviste ortodoncia y no usaste (o dejaste de usar) retenedores?
- ¿Respiras por la boca habitualmente?
- ¿Aprietas o rechinas los dientes?
- ¿Has perdido algún diente y no lo has repuesto?
Puntuación:
- 0-2 síes: Riesgo bajo, pero mantén vigilancia y buena higiene
- 3-5 síes: Riesgo moderado, considera evaluación profesional
- 6-10 síes: Riesgo alto, necesitas evaluación y plan de tratamiento
No esperes a que el problema sea obvio. Cuanto antes actúes, más sencillo (y económico) será el tratamiento.

Cómo Se Estudia Tu Caso De Verdad: Diagnóstico Profesional Que Va Más Allá De «Tienes Los Dientes Torcidos»
La primera consulta: más que mirar tu boca
Una evaluación profesional de apiñamiento dental no es «echar un vistazo y decirte que necesitas brackets».
Es un estudio completo que incluye:
1. Historia clínica detallada:
- ¿Cuándo notaste el apiñamiento?
- ¿Ha empeorado recientemente?
- ¿Tuviste ortodoncia antes?
- ¿Usaste retenedores? ¿Cuánto tiempo?
- ¿Tienes hábitos orales? (respiración oral, bruxismo, morderse uñas)
- ¿Antecedentes familiares de apiñamiento?
- ¿Problemas de encías, caries recurrentes?
2. Examen clínico completo:
- Evaluación de la sonrisa y estética facial
- Análisis de la mordida (oclusión)
- Evaluación de encías y soporte periodontal
- Detección de caries, desgastes, fracturas
- Evaluación de la ATM (articulación temporomandibular)
- Análisis de hábitos funcionales (deglución, respiración, postura lingual)
3. Fotografías clínicas:
- Frontal de cara (sonriendo y en reposo)
- Perfil
- Intraorales (dientes por todos los ángulos)
- Propósito: Documentar el estado inicial, planificar tratamiento, comparar progreso
4. Radiografías:
- Ortopantomografía (panorámica): Visión general de todos los dientes, raíces, hueso, muelas del juicio
- Telerradiografía lateral: Análisis del perfil facial, relación entre maxilares, patrón de crecimiento
- Radiografías periapicales: Detalle de dientes específicos si hay sospecha de problemas
- CBCT (tomografía): En casos complejos, para evaluar hueso en 3D, posición de raíces, vía aérea
5. Modelos de estudio (digitales o físicos):
- Escáner intraoral: Captura digital 3D de tus dientes en minutos
- Impresiones tradicionales: Si no hay escáner disponible
- Propósito: Medir con precisión el espacio disponible vs. espacio necesario, planificar movimientos
El análisis cefalométrico: descifrando tu estructura facial
La telerradiografía lateral no es solo una foto de perfil. Es la base para un análisis matemático detallado de tu estructura facial.
¿Qué medimos?
- Relación entre maxilar superior e inferior: ¿Están en armonía o hay discrepancia?
- Ángulo del perfil facial: ¿Perfil recto, convexo, cóncavo?
- Posición de los incisivos: ¿Están inclinados hacia adelante, hacia atrás, en posición ideal?
- Patrón de crecimiento: ¿Crecimiento vertical (cara larga) u horizontal (cara corta)?
- Espacio para los dientes: ¿Hay suficiente longitud de arcada?
¿Por qué importa?
Porque el apiñamiento no es solo un problema de «dientes torcidos». A menudo refleja un problema esquelético subyacente.
Ejemplo:
- Si tu maxilar superior es estrecho, puedes tener apiñamiento aunque tus dientes sean de tamaño normal
- Si tu mandíbula es pequeña, no habrá espacio suficiente para todos los dientes inferiores
- Si tus incisivos están muy inclinados hacia adelante, «roban» espacio del resto de la arcada
Entender la causa esquelética determina el tratamiento correcto.
Análisis de modelos: matemáticas de tu sonrisa
Con los modelos digitales 3D, realizamos mediciones precisas:
1. Análisis de Bolton:
- Compara el tamaño de los dientes superiores vs. inferiores
- Si hay discrepancia, los dientes no encajarán bien aunque estén alineados
- Solución: Ajustes de tamaño (stripping o restauraciones)
2. Discrepancia de espacio:
- Espacio disponible: Medimos la longitud de tu arcada
- Espacio necesario: Sumamos el ancho de todos tus dientes
- Discrepancia = Necesario – Disponible
- Ejemplo: Si necesitas 80mm y solo tienes 75mm, tienes 5mm de apiñamiento
3. Análisis de la curva de Spee:
- La curva natural de tu arcada inferior
- Si es muy pronunciada, «consume» espacio
- Nivelarla puede requerir espacio adicional o crear espacio
4. Análisis transversal:
- ¿Tus arcadas son suficientemente anchas?
- ¿Hay mordida cruzada posterior?
- ¿Se necesita expansión?
Con estos datos, sabemos exactamente cuánto espacio falta y dónde.
El plan de tratamiento: opciones basadas en evidencia
Con toda la información recopilada, diseñamos un plan personalizado.
Las preguntas clave que respondemos:
1. ¿Cuánto espacio necesitamos crear?
- Leve (1-3mm): Stripping (IPR) puede ser suficiente
- Moderado (4-6mm): Expansión + stripping
- Severo (>7mm): Puede requerir extracciones
2. ¿Cómo vamos a crear ese espacio?
- Expansión: Ensanchar las arcadas (más efectivo en niños/adolescentes)
- Stripping (IPR): Desgaste interproximal controlado (0.2-0.5mm por contacto)
- Distalización: Mover los molares hacia atrás
- Extracciones: En casos severos o con protrusión dental marcada
- Combinación: A menudo, la mejor solución es combinar técnicas
3. ¿Qué sistema de ortodoncia es mejor para tu caso?
- Alineadores transparentes: Apiñamiento leve-moderado, paciente disciplinado, estética prioritaria
- Brackets: Apiñamiento severo, casos complejos, movimientos radiculares precisos
- Ortodoncia lingual: Brackets por detrás de los dientes, máxima estética
- Combinación: Brackets en una arcada, alineadores en otra
4. ¿Cuánto tiempo tomará?
- Leve: 6-12 meses
- Moderado: 12-18 meses
- Severo: 18-24 meses o más
5. ¿Qué riesgos y limitaciones existen?
- Reabsorción radicular (acortamiento de raíces)
- Recesión gingival (retracción de encías)
- Necesidad de tratamiento periodontal previo
- Riesgo de recidiva si no se usa retención
6. ¿Cuál es el plan de retención?
- Tipo de retenedores (fijos, removibles, combinación)
- Duración del uso
- Protocolo de seguimiento
La simulación digital: ve tu resultado antes de empezar
Con la tecnología actual, especialmente con alineadores transparentes, puedes ver una simulación 3D de cómo quedará tu sonrisa antes de empezar el tratamiento.
Esto te permite:
- Visualizar el resultado final
- Entender qué movimientos se harán
- Ver el progreso etapa por etapa
- Tomar una decisión informada
No es una garantía absoluta (la biología a veces sorprende), pero es una guía muy precisa de lo que puedes esperar.
Consentimiento informado: decisiones con conocimiento
Antes de empezar cualquier tratamiento, debes entender:
- Qué se va a hacer y por qué
- Cuánto tiempo tomará
- Qué se espera de ti (higiene, uso de aparatos, asistencia a citas)
- Qué riesgos existen
- Qué alternativas hay
- Qué pasa si no se trata
- Cuánto costará
Un buen ortodoncista te explica todo esto con claridad, responde tus preguntas y te da tiempo para decidir.
No hay prisa. Es tu sonrisa, tu decisión.

Tratamientos Que Funcionan: De Lo Conservador A Lo Completo (Tu Mapa De Opciones Reales)
Opción 1: Stripping (IPR) – Crear espacio sin extracciones
¿Qué es?
El stripping o IPR (Interproximal Reduction) es un desgaste controlado y mínimo del esmalte entre los dientes para crear espacio.
¿Cuánto se desgasta?
- 0.2-0.5mm por contacto
- Total: hasta 6-8mm en toda la arcada
- Es seguro: El esmalte tiene 2-2.5mm de grosor; solo se desgasta la capa más externa
¿Cuándo está indicado?
- Apiñamiento leve-moderado (hasta 6mm)
- Dientes con forma triangular (mucho contacto en la punta, poco en la base)
- Como complemento a otros tratamientos
Ventajas:
- Conservador (no se extraen dientes)
- Rápido (se hace en consulta, minutos por zona)
- Mejora la forma de los dientes (más rectangulares, estéticamente mejor)
- Reduce puntos de retención de placa
Desventajas:
- Solo funciona para apiñamiento leve-moderado
- Requiere técnica precisa (en manos inexpertas puede dañar esmalte)
- Puede causar sensibilidad temporal
Proceso:
- Medición precisa con calibradores
- Desgaste con tiras de pulir o discos finos
- Pulido para dejar superficie lisa
- Aplicación de flúor para remineralizar
Después del stripping, los dientes se mueven para cerrar los espacios creados.
Opción 2: Expansión – Ensanchar las arcadas
¿Qué es?
Ensanchar el maxilar superior y/o la mandíbula para crear más espacio para los dientes.
Tipos de expansión:
1. Expansión rápida del maxilar (niños/adolescentes):
- Aprovecha que la sutura palatina (línea media del paladar) aún no está fusionada
- Se usa un expansor fijo que se activa diariamente
- Puede crear 5-10mm de espacio adicional
- Edad ideal: Antes de los 14-16 años
2. Expansión dentoalveolar (adolescentes/adultos):
- Inclina los dientes hacia afuera para ensanchar la arcada
- Menos expansión que la rápida (3-5mm)
- Se puede hacer con brackets o alineadores
- Requiere control cuidadoso para no dañar encías
3. Expansión quirúrgica (adultos con maxilar muy estrecho):
- Cirugía para separar la sutura palatina + expansor
- Para casos severos donde la expansión convencional no es suficiente
¿Cuándo está indicada?
- Maxilar superior estrecho
- Mordida cruzada posterior
- Apiñamiento moderado-severo con arcadas estrechas
- Respiración oral por falta de espacio nasal
Ventajas:
- Crea espacio real sin extracciones
- Mejora la estética facial (sonrisa más ancha)
- Puede mejorar la respiración nasal
- Estabilidad buena si se hace correctamente
Desventajas:
- Menos efectiva en adultos (requiere más tiempo, menos expansión)
- Puede causar recesión gingival si se exceden límites biológicos
- Requiere retención para mantener la expansión
Opción 3: Alineadores transparentes – Discreción y control
¿Qué son?
Férulas transparentes hechas a medida que se cambian cada 1-2 semanas para mover los dientes gradualmente.
Marcas principales:
- Invisalign (la más conocida)
- ClearCorrect
- Spark
- Y muchas otras
¿Cómo funcionan?
- Escáner 3D de tu boca
- Planificación digital del tratamiento
- Fabricación de serie completa de alineadores
- Cambias de alineador según pauta
- Revisiones cada 6-8 semanas
¿Para qué casos?
- Apiñamiento leve-moderado
- Pacientes disciplinados (debes usarlos 22h/día)
- Estética prioritaria
- Higiene oral buena
Ventajas:
- Estética: Casi invisibles
- Comodidad: Sin alambres ni brackets que rocen
- Higiene: Te los quitas para comer y cepillarte
- Previsibilidad: Ves el resultado antes de empezar
- Menos urgencias: No hay brackets que se despeguen ni alambres que pinchen
Desventajas:
- Requiere disciplina: Si no los usas 22h/día, no funcionan
- Fácil perderlos: Debes ser organizado
- Limitaciones: Algunos movimientos complejos son difíciles (rotaciones severas, movimientos radiculares grandes)
- Coste: Generalmente más caros que brackets metálicos
Attachments (ataches):
- Pequeños «botones» de composite que se pegan a los dientes
- Permiten que los alineadores ejerzan fuerzas más precisas
- Del color del diente, discretos
- Se retiran al final del tratamiento
Proceso típico:
- Duración: 12-18 meses para casos moderados
- Cambio de alineador: cada 7-14 días
- Revisiones: cada 6-8 semanas
- Refinamientos: alineadores adicionales si es necesario para perfeccionar
Opción 4: Brackets – Potencia y precisión
¿Qué son?
Pequeñas piezas pegadas a cada diente, conectadas por un arco de alambre que ejerce fuerzas para mover los dientes.
Tipos:
1. Brackets metálicos:
- Los tradicionales
- Más económicos
- Más resistentes
- Más visibles
2. Brackets cerámicos/de zafiro:
- Del color del diente o transparentes
- Más estéticos
- Más caros
- Más frágiles (requieren más cuidado)
3. Brackets autoligables:
- No necesitan ligaduras elásticas
- Menos fricción, movimientos más rápidos
- Menos citas de ajuste
- Más caros
4. Brackets linguales:
- Pegados por detrás de los dientes
- Totalmente invisibles
- Más caros
- Más difíciles de limpiar
- Pueden afectar el habla inicialmente
¿Para qué casos?
- Apiñamiento severo
- Casos complejos (grandes discrepancias, movimientos radiculares precisos)
- Pacientes que prefieren no tener la responsabilidad de ponerse/quitarse aparatos
Ventajas:
- Control total: Movimientos muy precisos en 3 dimensiones
- Eficacia: Funcionan para prácticamente cualquier caso
- No dependen de disciplina del paciente: Trabajan 24/7
- Coste: Brackets metálicos son generalmente la opción más económica
Desventajas:
- Estética: Visibles (excepto linguales)
- Comodidad: Pueden rozar, causar llagas inicialmente
- Higiene: Más difícil, requiere herramientas especiales
- Restricciones alimentarias: Evitar alimentos duros/pegajosos
- Urgencias: Brackets despegados, alambres que pinchan
Proceso típico:
- Duración: 18-24 meses para casos moderados-severos
- Citas de ajuste: cada 4-6 semanas
- Cambios de arco: progresión de arcos finos y flexibles a gruesos y rígidos
- Elásticos intermaxilares: a menudo necesarios para coordinar mordida
Opción 5: Extracciones estratégicas – Cuando menos es más
¿Cuándo se consideran extracciones?
- Apiñamiento severo (>8-10mm)
- Protrusión dental marcada (dientes muy hacia adelante)
- Perfil facial muy convexo que se quiere mejorar
- Imposibilidad de crear suficiente espacio con otras técnicas
- Dientes muy dañados que de todos modos necesitan extracción
¿Qué dientes se extraen?
Más común:
- Primeros premolares (los dientes justo detrás de los caninos)
- Posición estratégica: permiten retraer el frente y alinear el resto
- Generalmente se extraen 4 (uno en cada cuadrante) para mantener simetría
Menos común:
- Segundos premolares
- Incisivos inferiores (en casos muy específicos de apiñamiento leve)
- Dientes muy dañados o con mal pronóstico
El mito del «perfil hundido»:
Muchas personas temen que las extracciones «hundan» su cara. Esto es un mito cuando el tratamiento está bien planificado.
La realidad:
- Las extracciones se indican cuando HAY protrusión que corregir
- El objetivo es mejorar el perfil, no empeorarlo
- Con planificación digital moderna, se puede predecir el cambio facial
- El «hundimiento» solo ocurre con extracciones mal indicadas o mal ejecutadas
Ventajas:
- Crea espacio suficiente para casos severos
- Mejora el perfil facial en casos de protrusión
- Permite alineación estable sin forzar dientes fuera del hueso
- Reduce riesgo de recesión gingival
Desventajas:
- Irreversible
- Tratamiento más largo (hay más espacio que cerrar)
- Cambio en el perfil facial (puede ser ventaja o desventaja según el caso)
- Requiere planificación muy cuidadosa
Importante: Las extracciones son una herramienta, no un fracaso. En los casos correctos, son la mejor solución.
Opción 6: Tratamiento combinado – Lo mejor de cada mundo
A menudo, la mejor solución no es una técnica única, sino una combinación.
Ejemplos:
Expansión + Alineadores:
- Expansión inicial para ensanchar arcadas
- Alineadores para alinear y refinar
Brackets + Stripping:
- Brackets para movimientos complejos
- Stripping para crear espacio adicional sin extracciones
Extracciones + Alineadores:
- Extracciones estratégicas para crear espacio
- Alineadores para cerrar espacios y alinear
Brackets arriba + Alineadores abajo:
- Brackets en arcada superior (caso más complejo)
- Alineadores en inferior (caso más simple, mejor estética)
Tu ortodoncista diseñará el plan que mejor se adapte a tu caso específico, tus objetivos y tu estilo de vida.

Retención: El Capítulo Que Nadie Quiere Saltarse (Pero Muchos Lo Hacen… Y Lo Lamentan)
La verdad brutal sobre la recidiva
Aquí está la estadística que nadie quiere oír:
Sin retención adecuada, hasta el 70% de los casos de ortodoncia experimentan algún grado de recidiva (movimiento de vuelta hacia la posición original) en los primeros 10 años.
¿Por qué?
Porque tus dientes tienen memoria. O más precisamente, las fibras del ligamento periodontal tienen memoria elástica.
Cuando mueves un diente con ortodoncia, el hueso se remodela, pero las fibras del ligamento tardan mucho más en reorganizarse completamente. Durante meses (incluso años) después de terminar la ortodoncia, esas fibras «tiran» del diente hacia su posición original.
Además:
- Las fuerzas que causaron el apiñamiento original (lengua, labios, masticación) siguen ahí
- El crecimiento facial continúa hasta los 20-25 años (y cambios menores toda la vida)
- La pérdida de soporte periodontal con la edad facilita el movimiento
La retención no es opcional. Es parte del tratamiento.
Tipos de retenedores
1. Retenedores fijos:
¿Qué son?
- Alambre fino pegado por detrás de los dientes (generalmente incisivos superiores y/o inferiores)
- Invisible desde el frente
- Trabaja 24/7 sin que tengas que pensar en ello
Ventajas:
- No puedes olvidarlo
- Máxima protección contra recidiva en incisivos
- No afecta el habla ni la estética
Desventajas:
- Higiene más compleja (necesitas hilo con enhebrador o superfloss)
- Puede despegarse (requiere reparación)
- No protege molares ni caninos
Duración:
- Años, a menudo permanente
- Revisiones periódicas para verificar que esté bien pegado
2. Retenedores removibles tipo Essix:
¿Qué son?
- Férulas transparentes similares a los alineadores
- Cubren todos los dientes
- Te las pones por la noche (o según indicación)
Ventajas:
- Protegen toda la arcada
- Fácil higiene (te las quitas para limpiar)
- Estéticas (transparentes)
- Pueden servir como férula de descarga si tienes bruxismo leve
Desventajas:
- Requieren disciplina (debes acordarte de ponértelas)
- Se pueden perder
- Se desgastan con el tiempo (necesitan reemplazo cada 1-3 años)
- Pueden afectar ligeramente el habla
3. Retenedores tipo Hawley:
¿Qué son?
- Placa de acrílico con alambre metálico por delante
- Los retenedores «clásicos»
Ventajas:
- Muy duraderos
- Ajustables (se pueden reactivar si hay pequeños movimientos)
- Permiten que los dientes se toquen (a diferencia de Essix)
Desventajas:
- Más visibles que Essix
- Más voluminosos (afectan más el habla)
- Menos estéticos
La combinación más común y efectiva:
- Retenedor fijo en incisivos inferiores (zona de mayor riesgo de recidiva)
- Retenedor removible (Essix) en ambas arcadas para uso nocturno
Protocolo de uso: tu calendario de retención
No existe un protocolo único. Cada caso es diferente. Pero aquí está la pauta general:
Primeros 3-6 meses:
- Retenedores removibles: 24/7 (solo quitar para comer y cepillarse)
- Retenedores fijos: Siempre puestos
- Razón: Período de máximo riesgo de recidiva
6-12 meses:
- Retenedores removibles: Solo por la noche
- Retenedores fijos: Siempre puestos
- Razón: El hueso se está estabilizando, pero las fibras aún tienen memoria
Después del primer año:
- Retenedores removibles: Noche sí, noche no (o según indicación)
- Retenedores fijos: Siempre puestos (o hasta que tu ortodoncista indique retirarlos)
- Razón: Mantenimiento a largo plazo
A largo plazo (años):
- Muchos ortodoncistas recomiendan uso nocturno indefinido (al menos algunas noches por semana)
- Razón: Las fuerzas que causaron el apiñamiento original no desaparecen
Regla de oro: Si tu retenedor removible empieza a apretar cuando te lo pones, significa que tus dientes se han movido. Aumenta la frecuencia de uso inmediatamente y consulta con tu ortodoncista.
Cuidados de los retenedores
Retenedores fijos:
- Higiene: Hilo dental con enhebrador o superfloss DIARIAMENTE
- Cepillos interdentales: Para limpiar alrededor del alambre
- Irrigador bucal: Muy útil para limpiar bajo el alambre
- Revisiones: Cada 6 meses para verificar que esté bien pegado
- Señal de alarma: Si notas que el alambre se mueve o se despega, contacta inmediatamente
Retenedores removibles:
- Limpieza diaria: Cepillo suave + jabón neutro (NO pasta dental, puede rayarlos)
- Agua fría: NUNCA agua caliente (los deforma)
- Limpieza profunda: Pastillas limpiadoras 2-3 veces por semana
- Almacenamiento: Siempre en su estuche cuando no los uses
- Revisión: Cada 6-12 meses para verificar ajuste
- Reemplazo: Cada 1-3 años o cuando se desgasten/rompan
Señales de que necesitas reemplazo:
- Grietas o roturas
- Desgaste visible
- Ya no ajustan bien (demasiado flojos o demasiado apretados)
- Olor persistente que no se quita con limpieza
Qué pasa si no usas retención (historias reales)
Caso 1: «Pensé que ya había terminado»
- Ortodoncia durante 18 meses, resultado perfecto
- Usó retenedores 6 meses, luego los dejó «porque ya estaban rectos»
- A los 2 años: incisivos inferiores apiñados de nuevo
- Solución: 6 meses adicionales de alineadores + retención indefinida
Caso 2: «Perdí mi retenedor y tardé en reponerlo»
- Perdió el retenedor removible, tardó 3 meses en pedir uno nuevo
- En esos 3 meses: movimiento significativo
- El nuevo retenedor no ajustaba
- Solución: Refinamiento con alineadores + nuevo retenedor
Caso 3: «Mi retenedor fijo se despegó y no me di cuenta»
- Retenedor fijo despegado en un extremo
- No lo notó durante meses
- Los dientes empezaron a moverse
- Solución: Reparación del retenedor + férula nocturna adicional
La lección: La retención es para siempre. O al menos, para mucho, mucho tiempo.
Retención inteligente: hábitos que multiplican la estabilidad
Además de usar tus retenedores, estos hábitos ayudan a mantener la estabilidad:
1. Respiración nasal:
- La lengua en el paladar ayuda a mantener la forma del maxilar
- La respiración oral favorece el colapso y el apiñamiento
2. Postura lingual correcta:
- Lengua en el paladar en reposo
- No empujar los dientes al tragar
3. Control del bruxismo:
- Férula de descarga si aprietas/rechinas
- Las fuerzas excesivas pueden mover dientes
4. Reposición de dientes perdidos:
- Si pierdes un diente, repónlo inmediatamente
- Los dientes vecinos se moverán hacia el espacio
- Encías y hueso sanos mantienen los dientes estables
- La enfermedad periodontal facilita el movimiento
6. Revisiones periódicas:
- Cada 6-12 meses con tu ortodoncista
- Detección temprana de cualquier movimiento
La retención no es un castigo. Es tu seguro de vida para tu inversión en ortodoncia.

Tu Sonrisa No Está Condenada Al Desorden (Pero Necesita Tu Decisión)
Hemos recorrido un largo camino juntos en este artículo.
Desde entender por qué tus dientes se mueven (y por qué nunca dejan de hacerlo), pasando por las fuerzas invisibles que los empujan fuera de lugar, las señales que tu boca te está gritando, el diagnóstico profesional que va más allá de «tienes los dientes torcidos», las opciones de tratamiento que realmente funcionan, hasta la retención que protege tu inversión.
Y si hay una idea central que quiero que te lleves es esta:
El apiñamiento dental no es una sentencia permanente. Es un problema con solución.
Pero esa solución requiere dos cosas:
1. Tu decisión de actuar
Nadie va a arreglar tus dientes por ti. Nadie va a tomar la decisión por ti. Nadie va a llamar a la clínica por ti.
Tú tienes que dar el primer paso.
Y ese primer paso no es comprometerte a 18 meses de tratamiento. No es firmar un contrato. No es pagar miles de euros.
El primer paso es simplemente: pedir una evaluación.
Una consulta donde un profesional mire tu caso específico, te explique qué está pasando, qué opciones tienes, qué puedes esperar.
Sin compromiso. Sin presión. Solo información.
Y con esa información, puedes tomar una decisión informada sobre si quieres actuar ahora, más adelante o nunca.
Pero al menos sabrás. Y saber es poder.
2. Tu compromiso con el proceso
Si decides seguir adelante con el tratamiento, necesitas entender que el éxito no depende solo del ortodoncista.
Depende de ti.
De tu higiene diaria. De tu disciplina con los alineadores o el cuidado de los brackets. De tu asistencia a las citas. De tu uso de los retenedores.
La ortodoncia es un trabajo en equipo. Y tú eres el capitán del equipo.
Tu ortodoncista diseña la estrategia, ajusta las fuerzas, supervisa el progreso. Pero tú ejecutas el 90% del trabajo.
Y cuando ambos hacen su parte, los resultados son transformadores.
Lo que está en juego (más allá de la estética)
Sí, una sonrisa alineada es más bonita. Y sí, eso importa. La confianza que sientes al sonreír sin esconderte, al hablar sin tapar tu boca, al reírte sin pensar en cómo se ven tus dientes…
Eso tiene valor. Mucho valor.
Pero el apiñamiento no es solo un problema estético.
Es un problema de salud:
- Higiene comprometida → Mayor riesgo de caries y enfermedad periodontal
- Desgaste irregular → Dientes que se fracturan, sensibilidad, dolor
- Mordida desorganizada → Problemas en la ATM, dolores de cabeza, dificultad para masticar
- Pérdida de soporte → Dientes que se mueven más, que se pierden antes
Alinear tus dientes no es vanidad. Es salud.
El coste de no hacer nada
Hay un coste obvio en tratar el apiñamiento: tiempo, dinero, incomodidad temporal.
Pero hay también un coste en NO tratarlo:
- Coste de salud: Más caries, más tratamientos periodontales, más desgaste, posible pérdida de dientes
- Coste económico: Los tratamientos para reparar el daño causado por el apiñamiento (empastes, endodoncias, implantes) pueden superar con creces el coste de la ortodoncia
- Coste emocional: Años de esconder tu sonrisa, de sentirte cohibido, de evitar fotos
- Coste de oportunidad: Cada año que pasa sin tratar, el problema puede empeorar y el tratamiento hacerse más complejo
No hacer nada también es una decisión. Y tiene consecuencias.
Tu próximo paso (concreto y simple)
No te voy a decir «consulta con tu dentista» y dejarte ahí.
Te voy a dar un plan de acción concreto:
Paso 1: Autoevaluación (hoy, 5 minutos)
- Mírate al espejo con buena luz
- Toma fotos de tu sonrisa (frontal, laterales)
- Responde el cuestionario de 60 segundos de este artículo
- Compara con fotos antiguas si las tienes
Paso 2: Investigación (esta semana, 1 hora)
- Busca ortodoncistas en tu zona con buenas valoraciones
- Mira sus casos antes/después
- Lee opiniones de pacientes
- Verifica que ofrezcan las opciones que te interesan (alineadores, brackets estéticos, etc.)
Paso 3: Consulta (próximas 2 semanas)
- Pide cita para evaluación (muchas clínicas ofrecen primera consulta gratuita)
- Prepara tus preguntas:
- ¿Qué tipo de apiñamiento tengo?
- ¿Qué opciones de tratamiento tengo?
- ¿Cuánto tiempo tomaría cada opción?
- ¿Cuál es el coste?
- ¿Qué incluye? ¿Qué no incluye?
- ¿Qué pasa si no lo trato?
- Pide ver casos similares al tuyo
Paso 4: Decisión (después de la consulta)
- No te sientas presionado a decidir en el momento
- Tómate unos días para pensarlo
- Consulta con tu familia si es necesario
- Si tienes dudas, pide una segunda opinión
Paso 5: Acción (cuando estés listo)
- Empieza el tratamiento
- Comprométete con el proceso
- Sigue las indicaciones
- Comunica cualquier problema o duda
- Celebra los hitos
Paso 6: Mantenimiento (para siempre)
- Usa tus retenedores según indicación
- Revisiones periódicas
- Mantén buenos hábitos orales
- Disfruta de tu nueva sonrisa
La promesa que puedo hacerte (y la que no puedo)
Puedo prometerte:
- Que el apiñamiento dental tiene solución
- Que existen opciones para prácticamente cualquier caso y presupuesto
- Que la tecnología actual hace los tratamientos más cómodos, rápidos y predecibles que nunca
- Que miles de personas pasan por esto cada año y salen encantadas
- Que tu sonrisa puede mejorar significativamente
No puedo prometerte:
- Que será fácil (requiere compromiso)
- Que será rápido (los dientes se mueven a su ritmo biológico)
- Que será barato (la ortodoncia es una inversión)
- Que no habrá molestias (las hay, pero son manejables)
- Que el resultado será «perfecto» (buscamos lo mejor posible dentro de tu biología)
Pero puedo prometerte que valdrá la pena.
Una última reflexión
Dentro de un año, estarás un año más viejo.
Eso es inevitable.
La pregunta es: ¿Estarás un año más viejo con la misma sonrisa apiñada que tienes ahora, o estarás un año más viejo con una sonrisa alineada que te encanta?
El tiempo va a pasar de todos modos.
¿Qué vas a hacer con él?
Tu sonrisa no está condenada al desorden. Pero necesita tu decisión.
Y esa decisión empieza hoy, ven a Innovación.
Adelante. Tu mejor sonrisa te está esperando.
Y tú tienes todo lo que necesitas para llegar hasta ella.

